Vrai ou faux ?
Articles similaires
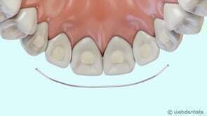
Contention de Hawley
Vidéos 3D
L'hygiène en orthodontie
Vidéos 3D
- A la une (3)
- Autres techniques orthodontiques (1)
- Chirurgie orthognatique (10)
- Contention (2)
- Coûts et prise en charge (1)
- Expansion maxillaire (4)
- Hygiène bucco-dentaire (7)
- Incidents et urgences orthodontiques (3)
- Informations générales dentaires (40)
- L'orthodontie de l'adulte (6)
- La réussite d'un traitement (12)
- Les enfants & les adolescents (23)
- Orthodontie (174)
- Orthodontie. (18)
- Orthopédie (1)
- Problèmes d'évolution en denture mixte (5)
- Qu'est-ce que l'orthodontie ? (30)
- Questions fréquentes en orthodontie (8)
- Soins Dentaires, Prévention, Esthétique (3)
- Traitement avec extractions (8)